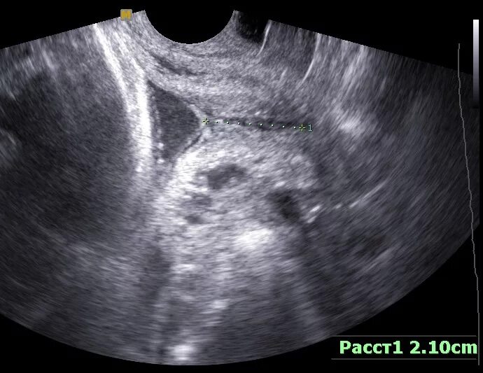
Внутренний зев воронкообразно