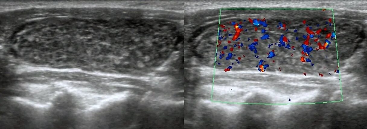
Выраженные диффузные