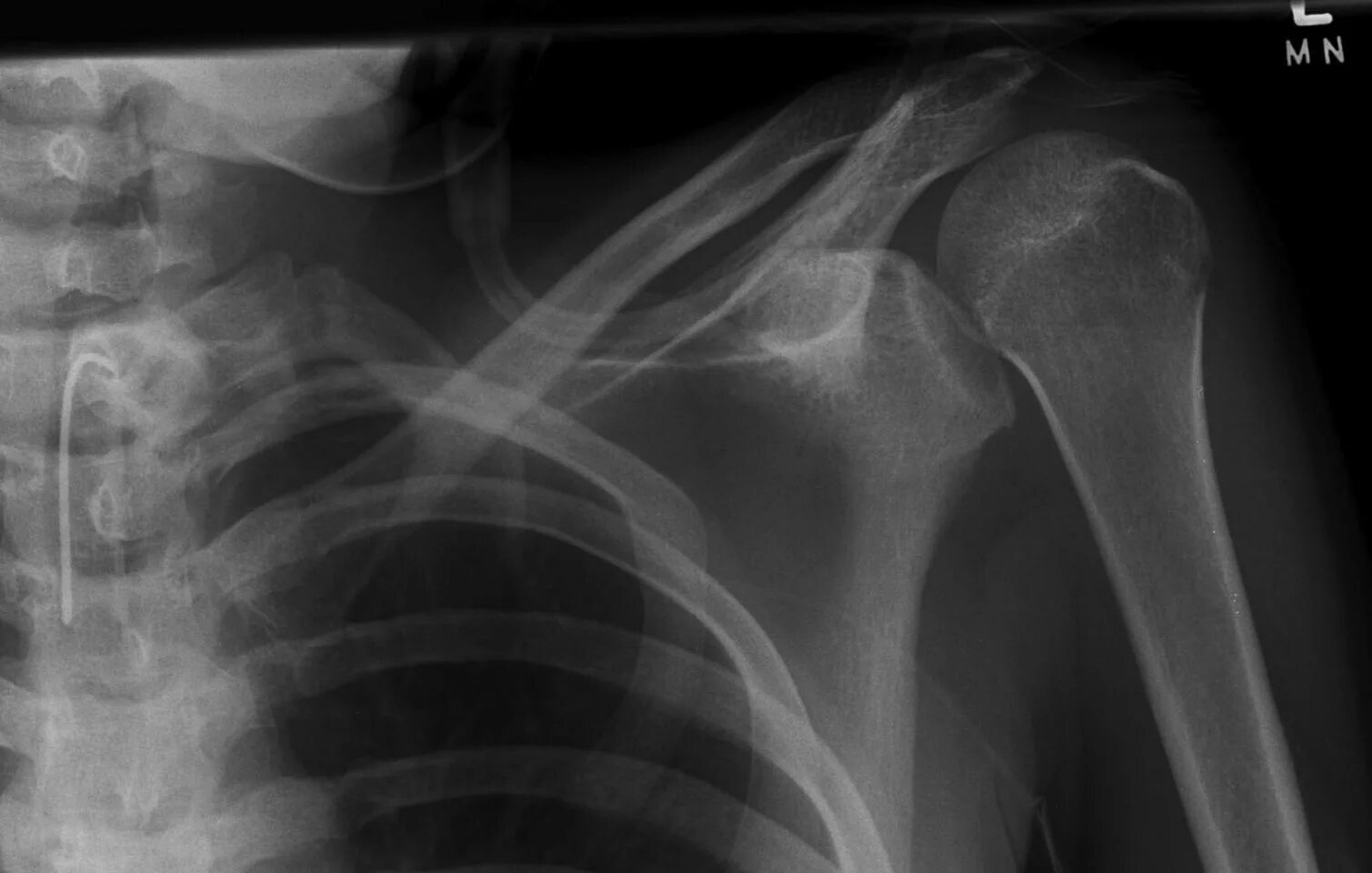
Вывих плеча вверх