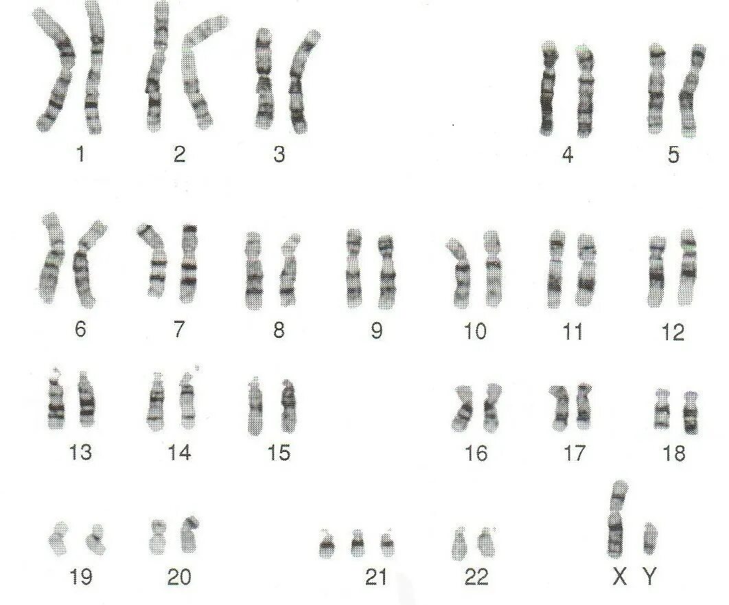
Вызывает изменение хромосом