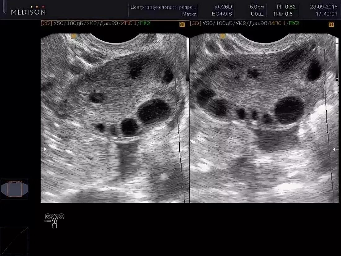
Яичник 8 см