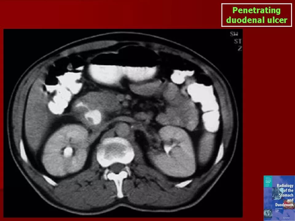
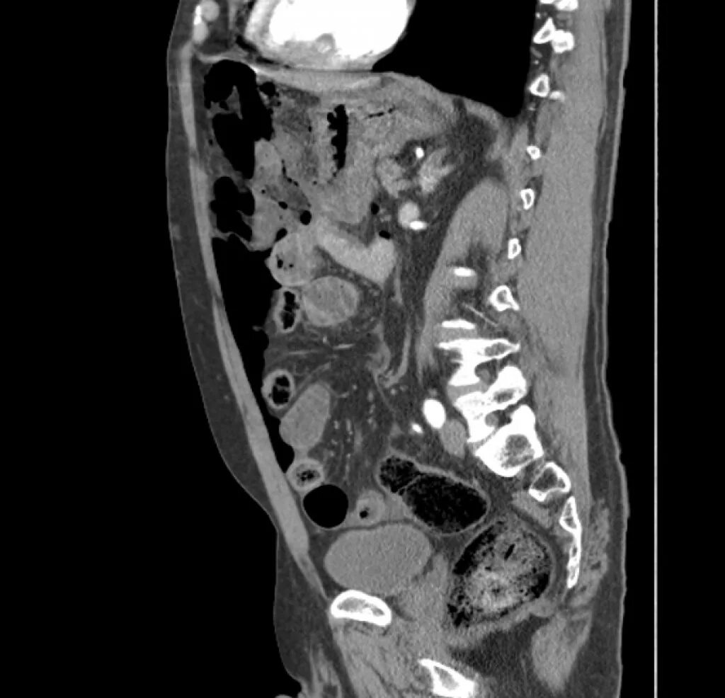
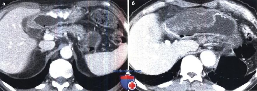
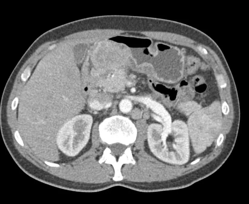
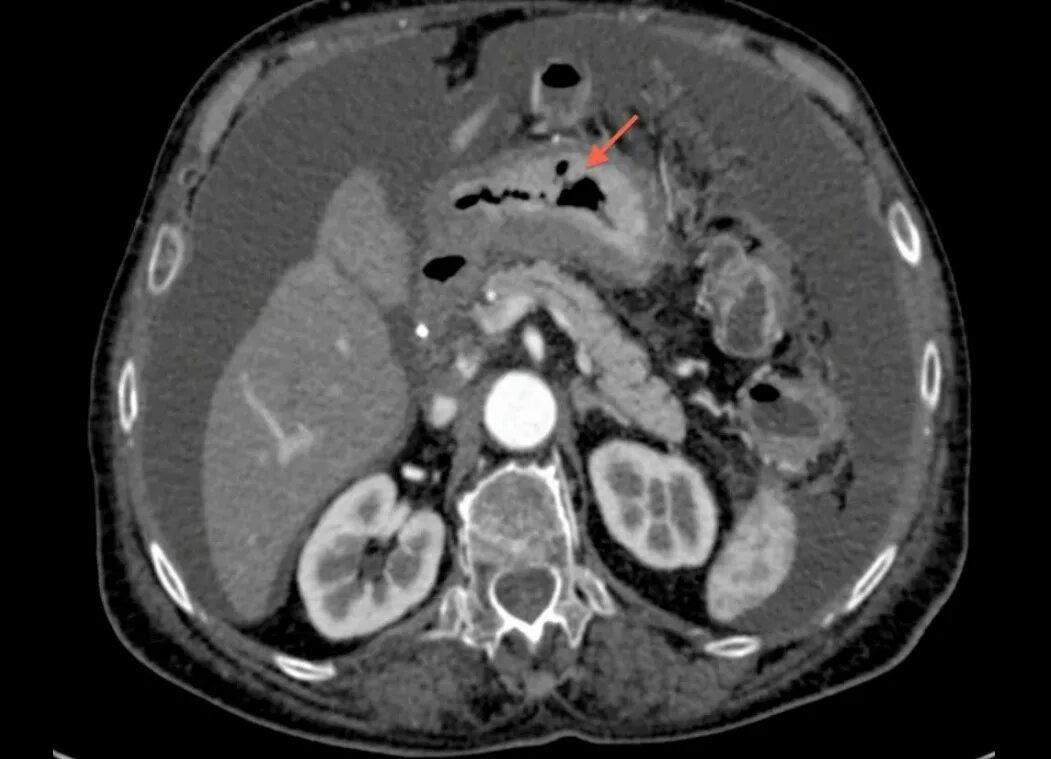
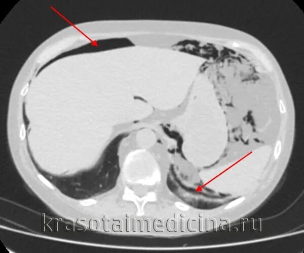
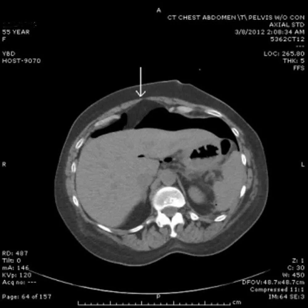
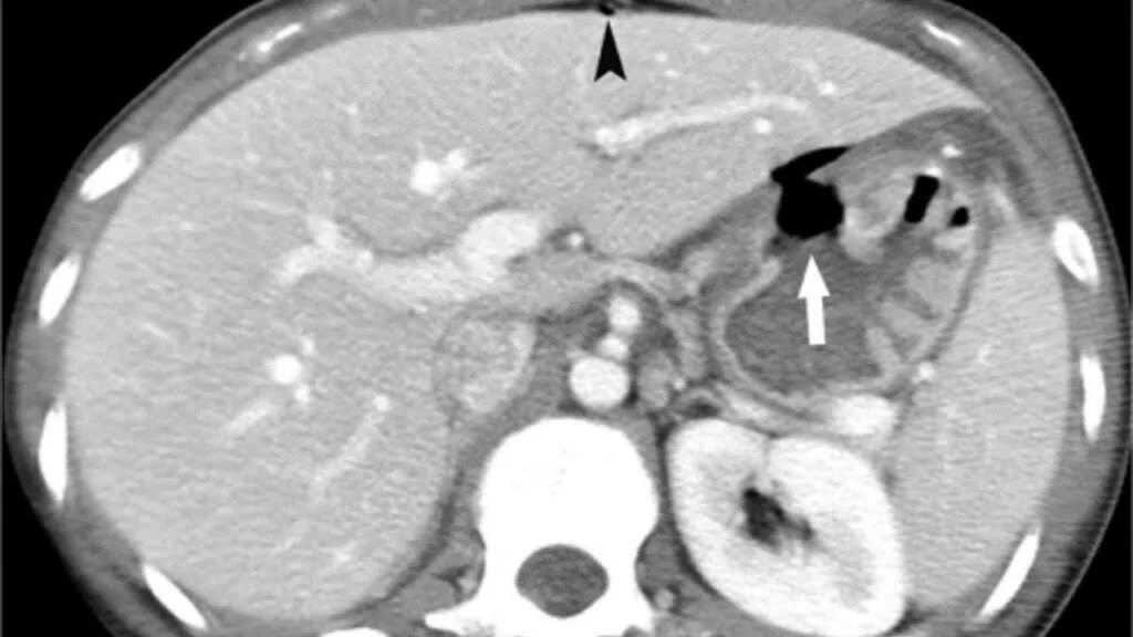
Язва желудка кт