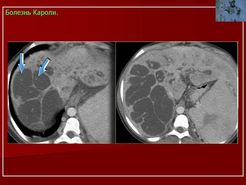
Заболевание кт