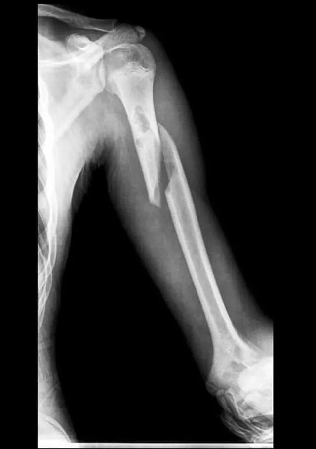
Закрытый оскольчатый перелом со смещением