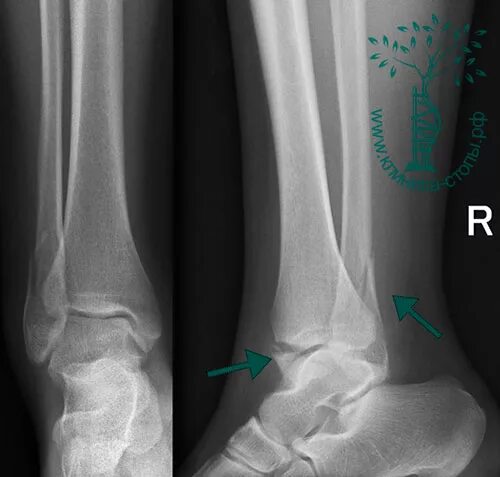
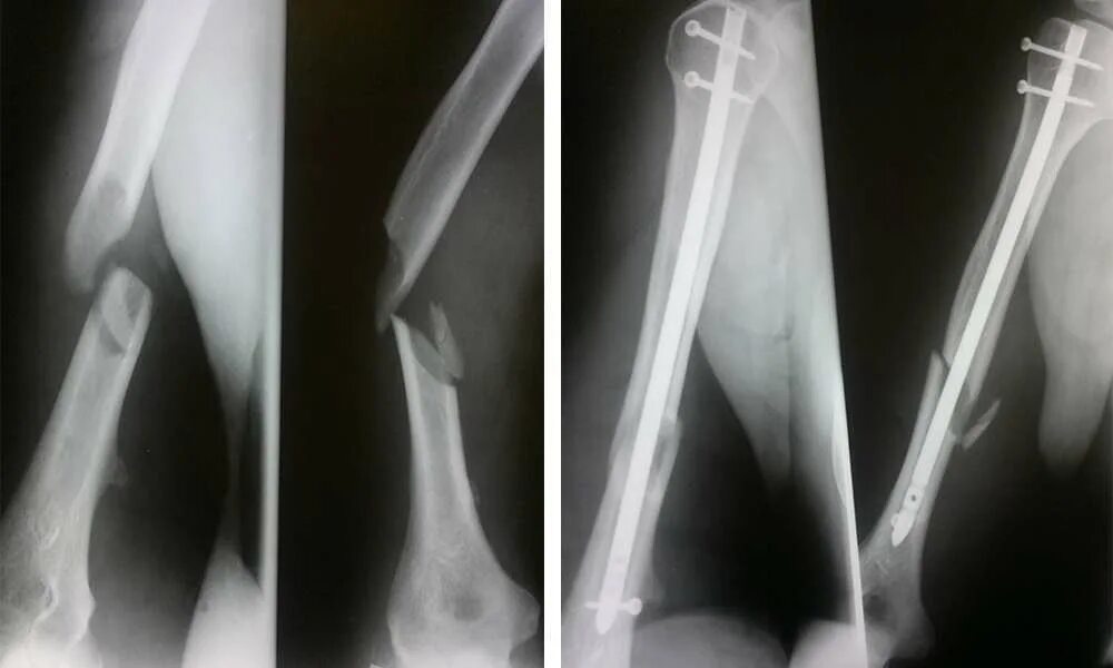
Заросший перелом со смещением