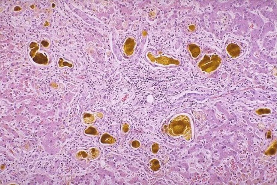
Желчные пигментации