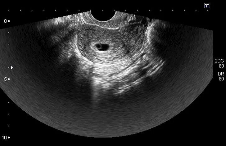
Желточный мешок 2 мм