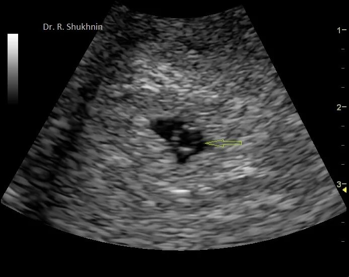
Желточный мешок увеличен