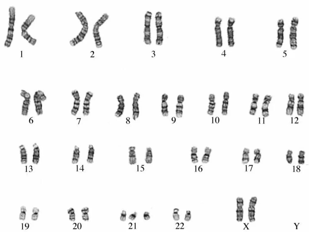
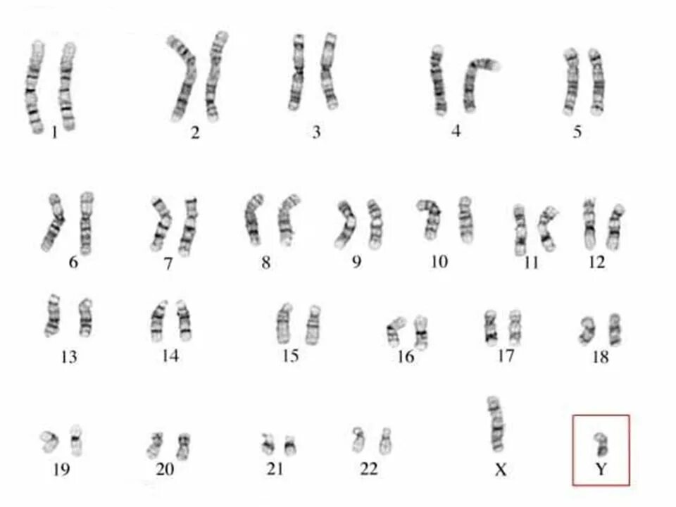
Зубы и хромосомы