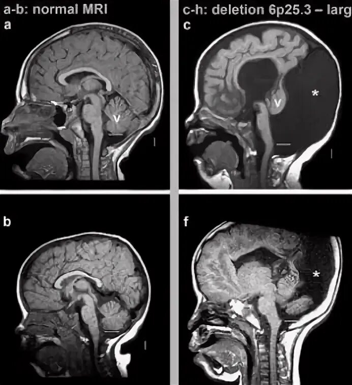
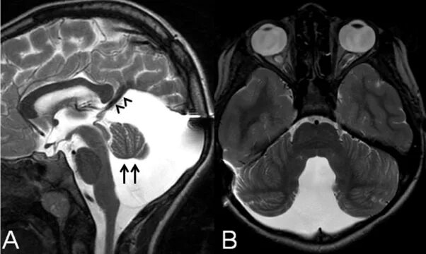
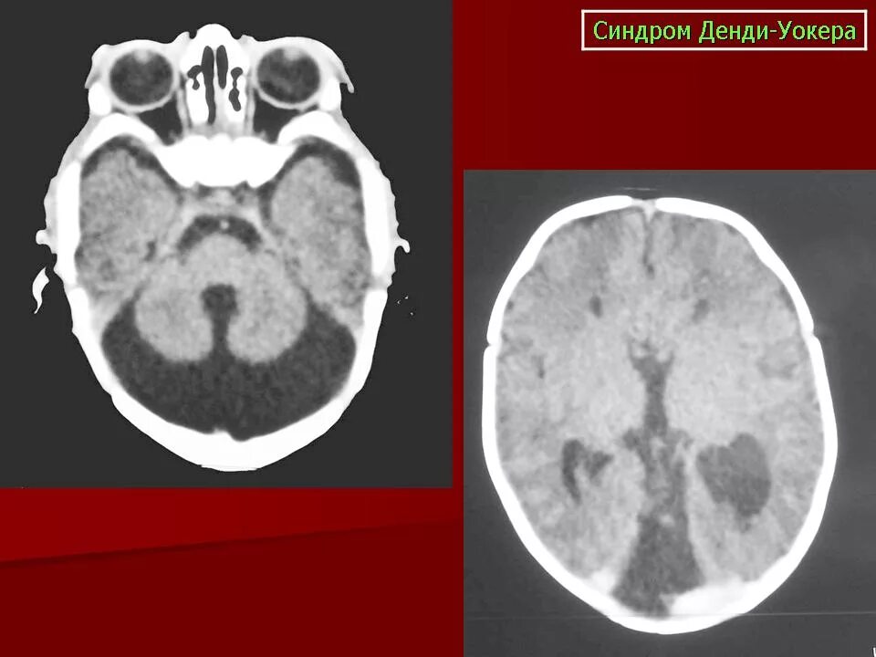
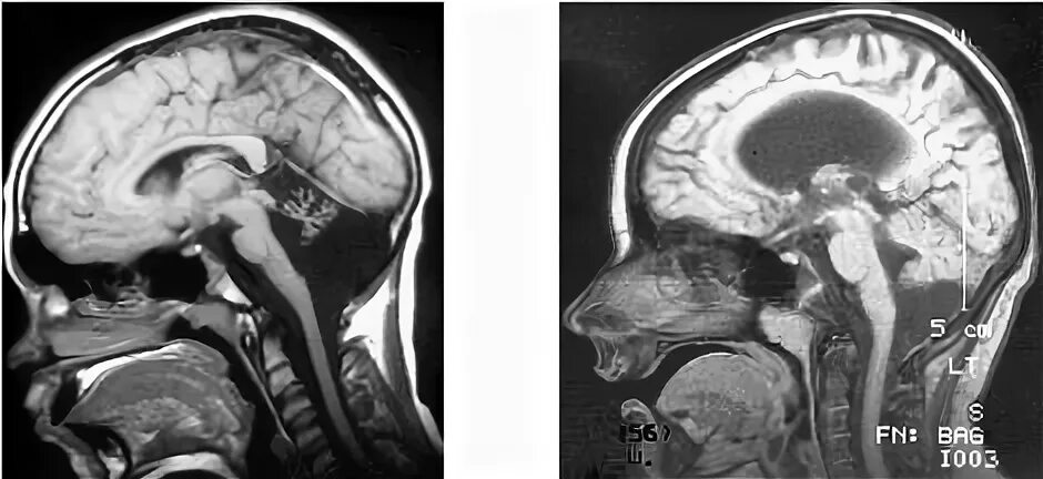
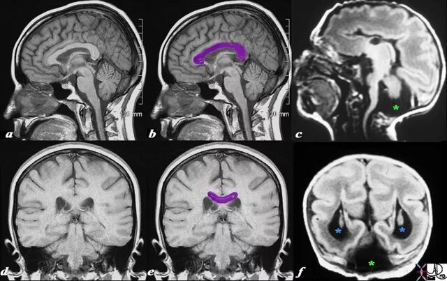
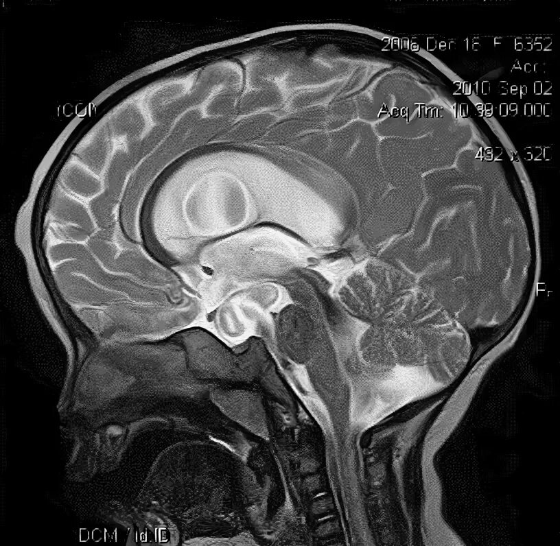
Денди уокера мрт