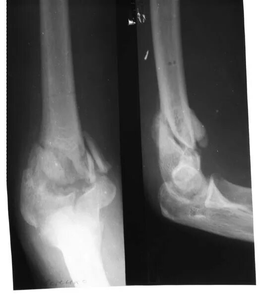
Оскольчатый перелом без смещения