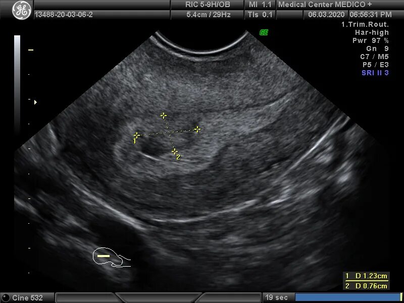
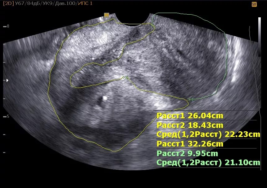
Узел в матке тип 4